Remissão de câncer em paciente que teve Covid-19 pode ajudar no estudo de novas terapias

Os autores de um artigo publicado no periódico especializado "British Journal of Haematology" reforçam uma hipótese de que a infecção pelo Sars CoV-2 tenha desencadeado uma resposta imune contra o tumor

Escrito por
Redação producaodiario@svm.com.br
(Atualizado às 08:23)
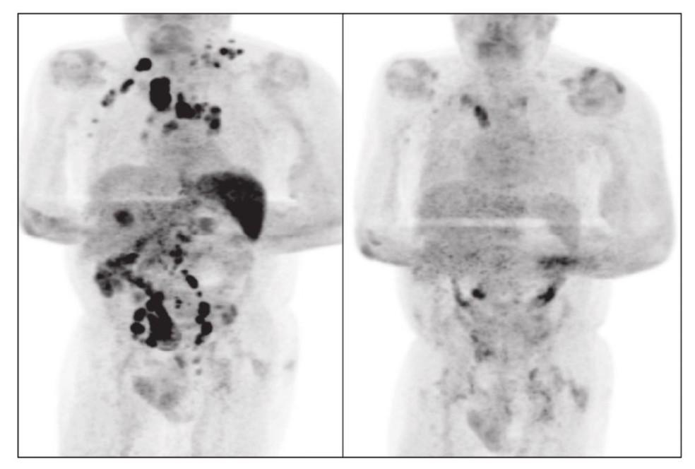
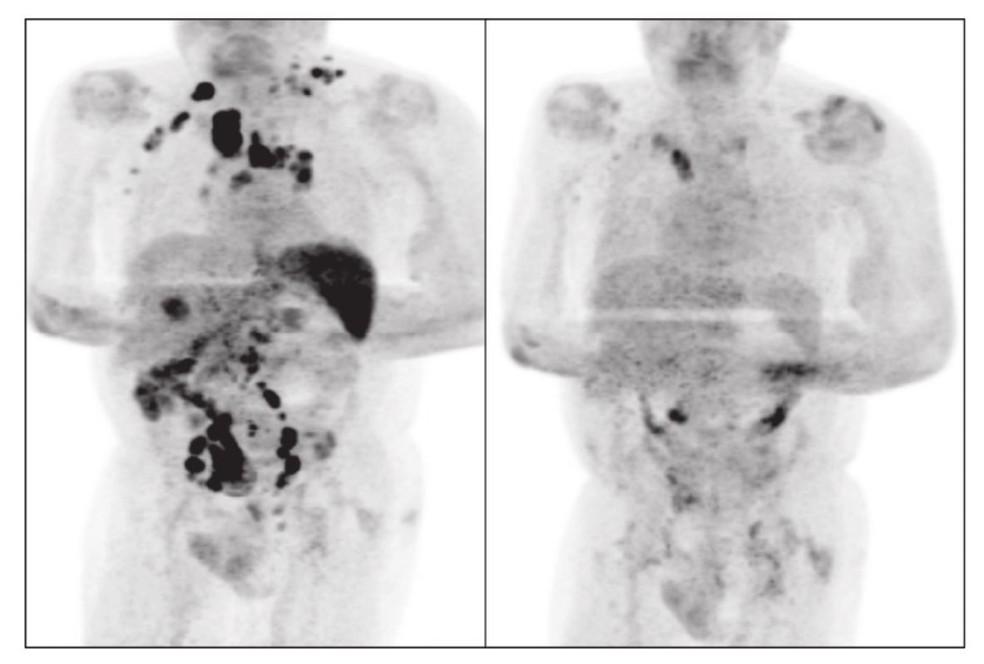
Legenda: O estudo de caso da remissão do câncer foi publicado no periódico especializado British Journal of Haematology
Foto: Reprodução/British Journal of Haematology

A rara remissão do linfoma de Hodgkin em um paciente britânico de 61 anos após ele ter sido infectado pela Covid-19 pode ser significativo para o estudo de novas terapias voltadas ao tratamento do câncer. É o que afirmam dois especialistas ouvidos pelo Diário do Nordeste.

Os autores de um artigo publicado no periódico especializado "British Journal of Haematology" sobre o assunto, Sarah Challenor e David Tucker, reforçam uma hipótese de que a infecção pelo Sars CoV-2 tenha desencadeado uma resposta imune contra o tumor, como já descrito em outras infecções em relação com o câncer em questão.

A "sorte" do paciente decorreu de um processo similar à "imunoterapia", tratamento que utiliza o próprio sistema imunológico do paciente para destruir as células cancerígenas.

Para o oncologista Rafael Cruz, o idoso pode ter passado por uma hiperestimulação do sistema imunológico que ajudou no combate não só do vírus, como também do tumor cancerígeno. Segundo ele, apesar de ser uma situação rara, não é a primeira vez que um caso como esse é registrado pela ciência.

Como funciona a imunoterapia

"Tudo que é diferente do normal no nosso corpo o sistema imunológico encara como não próprio", explica Rafael Cruz. Esse comportamento do corpo pode ocorrer para um vírus, bactéria ou até mesmo após a pessoa ser machucada por uma pequena farpa de madeira. 

Algumas proteínas presentes em tumores cancerígenos conseguem 'fazer um disfarce' para o sistema imunológico, desativando o reconhecimento do sistema de que há algo errado e conseguem se desenvolver. 

Com a imunoterapia, anticorpos são disparados nos tumores como uma forma de tentar 'cobrir' essas proteínas e fazer com que o sistema imunológico volte a combater aquelas células. O tratamento não funciona em 100% dos casos, mas é seguro e já é utilizado no Brasil.

A apresentadora Ana Maria Braga utilizava a imunoterapia contra o câncer no pulmão e ficou curada. O tratamento está disponível na rede privada. Pacientes do SUS, segundo Rafael, precisam pedir acesso à imunoterapia por meio da Justiça.

Para o oncologista clínico e pesquisador da Sociedade Brasileira de Oncologia Clínica (SBOC), Eduardo Cronemberg, a remissão lança um alerta sobre a necessidade de mais pesquisas sobre tratamentos que influenciam no sistema imunológico de pacientes com câncer. 

Cuidados devem continuar

Cronemberg explica que diversos pacientes oncológicos são mais suscetíveis a formas mais graves da Covid-19 devido ao estado imunossuprimido, aos tratamentos como quimioterapia e radioterapia, e outras condições clínicas, como diabetes e hipertensão. 

Rafael ressalta a importância de pacientes com câncer continuarem evitando qualquer tipo de infecção. A Covid-19 ainda pode ser perigosa para quem já tem a imunidade comprometida e é preciso manter os cuidados como distanciamento social e uso de máscaras.

Para os especialistas, é nítido que não há garantia de uma relação direta e eficaz entre a Covid-19 e o combate ao câncer. "[Tentar pegar Covid voluntariamente] é como jogar na loteria. As chances de cura são muito pequenas", finaliza Rafael Cruz.

Assuntos Relacionados