Cientistas revelam como Alzheimer supostamente 'mata' neurônios: 'descoberta é emocionante'

Pesquisa, publicada na revista Science, foi realizada por cientistas do Reino Unido e da Bélgica

Escrito por
Redação producaodiario@svm.com.br
Pesquisa do cérebro
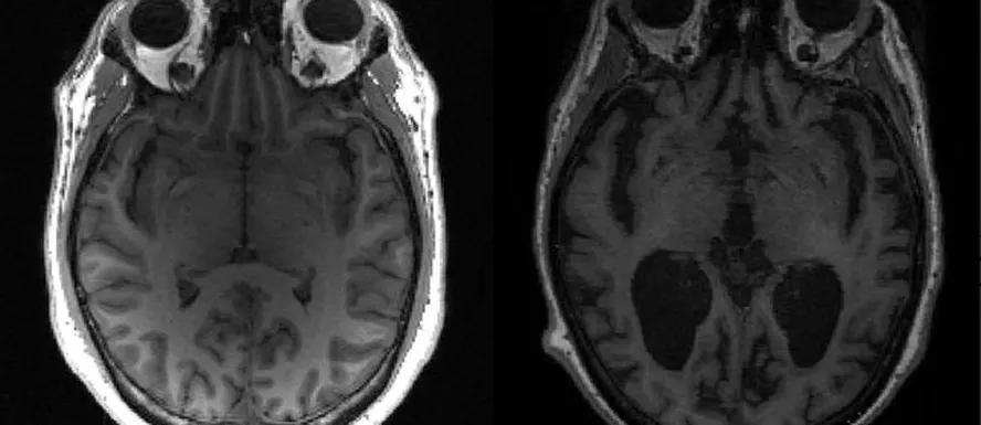
Legenda: Cérebro saudável aparece à esquerda e cérebro com Alzheimer à direita, evidenciando as diferenças
Foto: Reprodução

Em artigo publicado na revista científica Science, um grupo de cientistas do Reino Unido e da Bélgica compartilharam uma nova descoberta relacionada à doença de Alzheimer. Em pesquisa coletiva, descobriram como as células cerebrais morrem, em um processo chamado de necroptose. A morte celular dos neurônios está ligada à perda de memória. 

Segundo o GLOBO, os pesquisadores são do Instituto de Investigação de Demência do Reino Unido, na University College London e da KU Leuven, na Bélgica. No estudo, evidenciaram que o acúmulo de duas proteínas entre os neurônios resulta em uma inflamação cerebral que, consequentemente, resulta em uma mudança química interna.

Veja também

Assim, os neurônios, responsáveis por transmitir os impulsos do sistema nervoso no cérebro, começam a produzir a molécula MEG3, que pode ser a principal causadora da necroptose.

Em experimentos realizados em camundongos, os cientistas bloquearam a molécula MEG3 e demonstraram que as células cerebrais se mantiveram vivas.

Emoção com descoberta

Com a pesquisa, os cientistas podem pensar em medicamentos para o tratamento de Alzheimer. 

"A descoberta é emocionante, mas ainda estão em um estágio inicial. É importante porque aponta para novos mecanismos de morte celular na doença de Alzheimer que não entendíamos anteriormente e pode abrir caminho para novos tratamentos para retardar ou mesmo parar a progressão da doença no futuro", disse a pesquisadora da Alzheimer's Research UK, Susan Kohlhaas.