Vacina contra a gripe é associada à redução de 40% no risco de Alzheimer; entenda o estudo

Outros estudos científicos já haviam apontado relação entre a diminuição do risco de demência e vacinas antitetânicas, contra a poliomelite e contra o herpes

Escrito por
Redação producaodiario@svm.com.br
(Atualizado às 15:36)
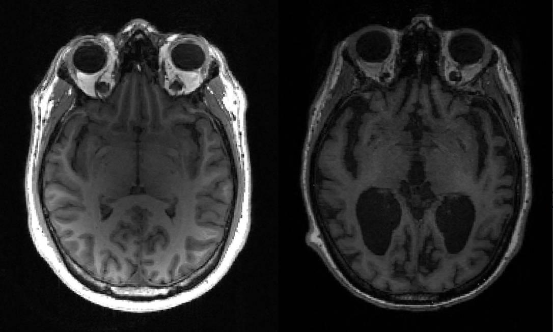
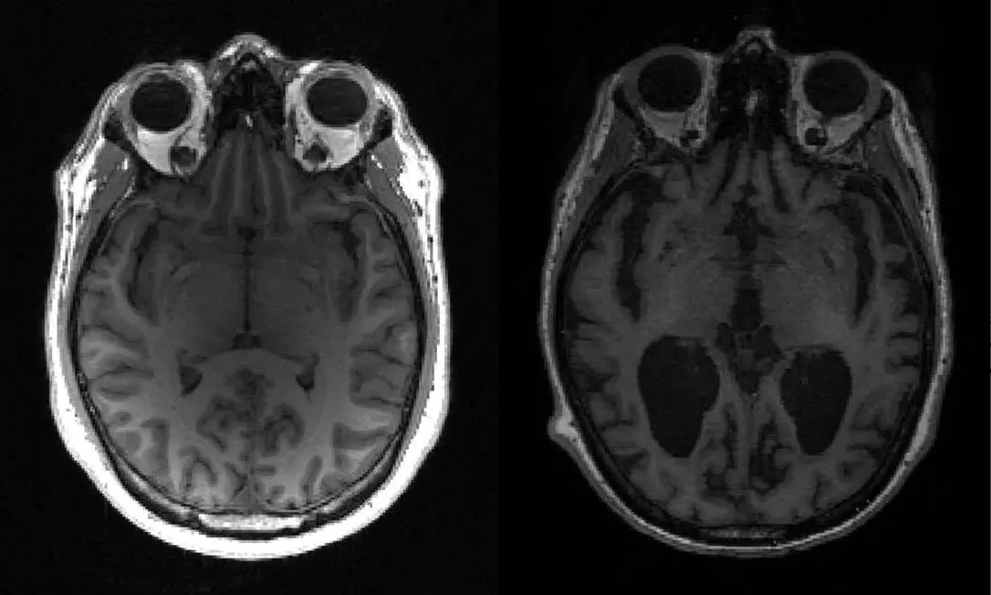
Legenda: À esquerda, um cérebro saudável. À direita, um cérebro com Alzheimer, apresentando grandes áreas escuras.
Foto: Timothy Rittman/AFP

Um estudo norte-americano concluiu que a vacina contra a influenza pode ser um agente de redução do risco de Alzheimer em 40%. O resultado foi conhecido pois, ao longo de quatro anos, pessoas que receberam pelo menos uma dose do imunizante tiveram as chances da doença reduzidas, em comparação aos não vacinados. 

O novo estudo foi divulgado por pesquisadores do Centro de Ciências da Saúde da Universidade do Texas, nos Estados Unidos, publicado na revista científica Journal of Alzheimer's Disease. As informações são do O Globo. 

Cientistas utilizaram informações de banco de dados sobre pacientes com mais de 65 anos entre setembro de 2009 e agosto de 2019. Foram incluídas cerca de 1,9 milhão pessoas sem diagnóstico prévio de Alzheimer. 

Entre os 936 mil que receberam a vacina contra a gripe, a incidência de casos de demência foi de 5,1%. Já a de participantes não vacinados foi maior: 8,5%. No total, o risco para o desenvolvimento da doença foi 40% maior no grupo de pessoas protegidas contra a influenza. 

Veja também

"Descobrimos que a vacinação contra a gripe em adultos mais velhos reduz o risco de desenvolver a doença de Alzheimer por vários anos. A força desse efeito protetor aumentou com o número de anos em que uma pessoa recebeu uma vacina anual contra a gripe", comenta o pesquisador Avram Bukhbinder, um dos responsáveis pelo estudo. 

Outros estudos científicos já haviam apontado relação entre a diminuição do risco de demência e vacinas antitetânicas, contra a poliomelite e contra o herpes, além da contra a influenza também. 

Os mesmos pesquisadores dessa nova rodada pretendem, nos próximos anos, investigar possíveis relações com a vacina contra a Covid-19. "Pesquisas futuras devem avaliar também se a vacinação contra a gripe está associada à taxa de progressão dos sintomas em pacientes que já têm demência de Alzheimer", diz Bukhbinder. 

Alzheimer 

Segundo o Ministério da Saúde, cerca de 1,2 milhão de pessoas têm Alzheimer. A maior parte delas, ainda não tem diagnóstico, entretanto. Até 2040, os casos podem quadruplicar na população brasileira, caso medidas de saúde não sejam colocadas em prática. 

A descoberta está presente em estudo epidemiológico de pesquisadores da Universidade Federal de Pelotas (UFPel), da Universidade Federal do Rio Grande do Sul (UFRGS) e da Universidade de Queensland, na Austrália, publicado na Revista Brasileira de Epidemiologia em 2021.

No ano passado, a Organização Mundial da Saúde (OMS) alertou sobre a falha do mundo em combater casos de demência. O diagnóstico pode alcançar 139 milhões ao redor do globo até 2050.

Assuntos Relacionados