Aposentado descobre tumor em fase terminal após ir ao médico por dor no dedão do pé

Caso aconteceu nos Estados Unidos; homem fez uma cirurgia de 12 horas para remover o tumor

Escrito por
Redação producaodiario@svm.com.br
(Atualizado às 18:43)
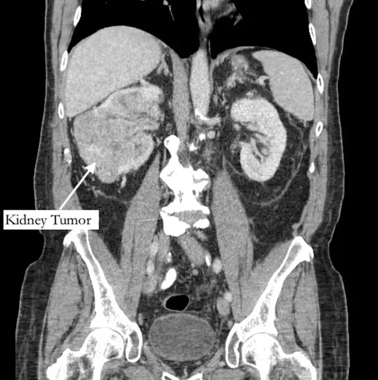
Imagem de um câncer
Legenda: Câncer foi descoberto após uma consulta de uma dor no pé
Foto: Divulgação/Northwell Health

Foi durante uma consulta por dor em dedão do pé direito que o aposentado Richard Bernstein, 42 anos, descobriu um câncer terminal. O caso aconteceu nos Estados Unidos, após o homem receber o diagnóstico de tumor no rim e de um trombo tumoral. As informações são do g1

Richard é morador de Nova Jersey e foi ao hospital após sentir a dor por cinco anos. Conforme o jornal "New York Post", ele pensava que era uma fratura. Há dois anos, visitava médicos especializados, como podólogos, mas nenhum encontrou qualquer problema nos ossos. 

Veja também

Com a intensificação dos sintomas, um dos médicos solicitou um exame abdominal. Em março deste ano, ele já sentia dor no tornozelo e sua perna inchou. O exame revelou o tumor, que cresceu na veia renal e preenchia a veia cava. 

O aposentado estava com 99% das artérias da coronária bloqueadas, além do fígado dele estar próximo a entrar em falência. Em entrevista ao "New York Post", declarou que o médico lhe deu quatro dias de vida. 

Cirurgia de emergência

Depois do diagnóstico, o homem fez uma cirurgia de 12 horas para remover o tumor. A operação foi complexa e contou com a participação de diferentes médicos especialistas. 

O diretor de urologia do Hospital Phelps, localizado no estado de Nova York, Michael Grosso, apontou que ele estava em uma "corda-bamba".

"Tinha duas situações de alto risco de vida em um período muito curto acontecendo ao mesmo tempo".
Michael Grosso
Diretor de Urologia

Após a retirada do tumor, os médicos apontam não ser necessária a realização de quimioterapia. Bernstein agora se recupera da cirurgia, sendo capaz de andar sozinho. 

Assuntos Relacionados