Corda de pular é encontrada dentro da bexiga de homem no Japão

O caso foi relatado pela revista médica Urology Case Reports

Escrito por
Redação producaodiario@svm.com.br
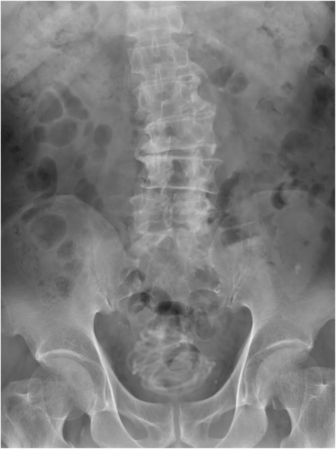
raio-x mostra corda dentro de bexiga de paciente
Legenda: Exames de imagem mostraram que a corda estava na bexiga do paciente
Foto: Reprodução

Médicos encontraram uma corda de pular na bexiga de um homem de 79 anos. O idoso procurou atendimento médico relatando sentir dores ao urinar. Depois da realização dos exames de imagens, a equipe médica se assustou ao encontrar o objeto, que tinha 2,3 metros de comprimento

O caso ocorreu no Japão e foi relatado em artigo na revista médica Urology Case Reports. Conforme os médicos apontaram, o paciente revelou ter inserido a corda pela uretra. Ele não explicou o motivo, mas a equipe médica acredita que a intenção do idoso seria ter satisfação sexual

Veja também

“Primeiro realizamos um ultrassom e identificamos um objeto grande na bexiga do paciente. Depois fizemos um raio-x, que revelou um corpo estranho enrolado em forma de fio. Em seguida, fizemos uma tomografia que nos ajudou a escolher o melhor jeito de tirar a corda e usamos um programa de computador em 3D para nos direcionar. Percebemos que seria impossível puxar a corda pelo pênis”, disse Toshiki Kijima, professor de urologia na Dokkyo Medical University, autor do documento. 

Confira as fotos:

corda, homem, bexiga, japao
Legenda: Imagens obtidas pela equipe médica
Foto: Reprodução/Urology Case Reports

corda, bexiga, homem, japao
Legenda: Corda retirada do corpo do homem
Foto: Reprodução/Urology Case Reports

Os profissionais de saúde tiveram que realizar uma pequena incisão na região do abdômen para retirar o objeto do corpo do homem. Apesar de a corda ter ficado extremamente comprimida no paciente, ele não teve complicações sérias. 

No texto, os médicos alertam que introduzir objetos não indicados no corpo para satisfação sexual é muito arriscado e deve ser evitado.

Assuntos Relacionados