Médicos do RJ operam paciente com doença raríssima, registrada menos de 200 vezes no mundo

Paciente deu entrada no Hospital Municipal Salgado Filho relatando dores abdominais e perda de peso. Caso foi apresentado em congresso na Suíça

Escrito por
Redação producaodiario@svm.com.br
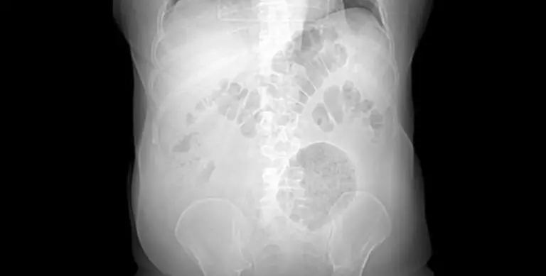
Tomografia computadorizada mostra divertículo gigante
Legenda: O tamanho do divertículo foi constatado por meio de tomografia computadorizada
Foto: Divulgação/Prefeitura do Rio de Janeiro

Um caso raro de divertículo gigante do cólon atendido pelo Hospital Municipal Salgado Filho, no Rio de Janeiro, foi apresentado por pesquisadores brasileiros no 17º Congresso Europeu Colorretal, no último mês de dezembro, em St. Gallen, na Suíça. A doença foi catalogada pela literatura médica menos de 200 vezes no mundo desde que foi descoberta, há 78 anos. O paciente, um homem de 62 anos, foi operado e está plenamente recuperado.

"O fato de o estudo ter sido publicado nesse congresso, muito restrito e respeitado, é o maior sinal da importância que ele tem", disse o cirurgião Alexandre Fiuza, um dos autores do trabalho, em reportagem sobre o assunto publicada no site da Prefeitura do Rio.

A formação encontrada tinha 13 cm x 12 cm x 10 cm, quando, em média, esse tipo de inflamação tem entre 4 cm e 9 cm de diâmetro

Veja também

De acordo com Alexandre, o paciente chegou ao hospital pela porta da emergência, se queixando de dores abdominais e perda de peso há pelo menos dois meses. O exame clínico indicou a presença de uma massa flácida, palpável e dolorosa no flanco esquerdo do abdômen do homem. O tamanho da inflamação foi detectado por uma tomografia computadorizada.

"Nunca tínhamos ouvido falar em divertículo gigante. Pesquisamos e vimos que os casos eram raríssimos. Foi uma surpresa muito grande, que começou com um paciente com queixa de dor na barriga", comentou Leonardo Fiuza, que participa do programa de Residência Médica da Secretaria Municipal da Saúde.

O trabalho foi publicado na revista científica European Surgery — Acta Chirurgica Austriaca.

O atendimento ao paciente e a submissão do trabalho ao congresso foram feitos, basicamente, em família. Isso porque o médico residente Leonardo, filho do cirurgião Alexandre Fiuza, foi o responsável pelo atendimento ambulatorial do paciente e por descobrir o quadro em tomografia computadorizada, e o pai dele ficou encarregado da extração do tecido inflamado. Já Débora Fiuza, que é cineasta e irmã de Leonardo, foi quem preparou o vídeo de apresentação do trabalho submetido à banca avaliadora.

A cirurgia contou ainda com a assistência das residentes Beatriz Salgado e Fernanda Rodrigues, também autoras do trabalho.

Paciente está plenamente recuperado

A cirurgia de laparotomia exploradora confirmou a existência de massa inflamatória na parede abdominal e no cólon sigmoide, na porção final do intestino grosso. Feita a extração do tecido, o paciente teve uma "recuperação tranquila", segundo a Prefeitura do Rio, e recebeu alta quatro dias depois.

Veja também

"Ficamos muito felizes por termos cuidado desse paciente e conseguido liberá-lo para casa, para que ele viva com saúde junto com a família", comemorou Leonardo.

O que é diverticulite?

A diverticulite é uma doença caracterizada pela inflamação de um ou mais divertículos, que são pequenas bolsas em formato de balão, presentes na parede do intestino grosso. Dependendo do tamanho da inflamação e da gravidade do caso, os sintomas podem ser febre, vômito e dor abdominal intensa.

Assuntos Relacionados